Rado ćemo odgovoriti na sve što vas zanima. Ostavite podatke i javit ćemo vam se povratno u najkraćem mogućem roku.
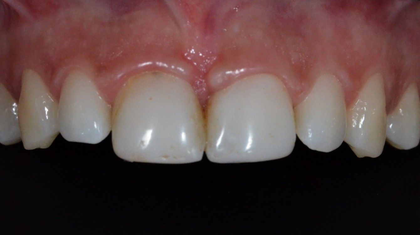
Dotrajale kompozitne ljuskice zamijenili smo novim keramičkim ljuskicama (veneers) kako bismo Miji dali ljepši osmijeh.
Kompozitne ljuskice rade se od kompozita, materijala koji je mekši od keramike, što znači da se brže i troši. One su sklonije nakupljanju pigmenata iz hrane, stoga je trajnost boje znatno kraća.
Budući da su postojeće kompozitne ljuskice dotrajale i promijenile boju, Mia je željela promjenu i dugotrajnije rješenje. Odlučili smo se za izradu kvalitetnih keramičkih ljuskica u frontalnoj regiji gornje čeljusti.
Keramičkim ljuskicama učinili smo zube svjetlijima, sjajnijima i duljima, a time je i ljepota Mijinog osmijeha poprimila sasvim novu dimenziju. Osim toga, njen osmijeh izgleda sasvim prirodno.




