Rado ćemo odgovoriti na sve što vas zanima. Ostavite podatke i javit ćemo vam se povratno u najkraćem mogućem roku.
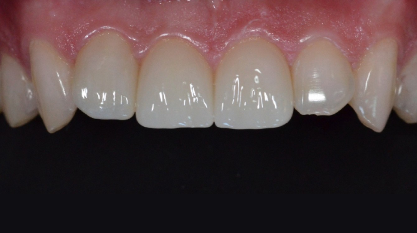
Zubnim krunicama riješili smo frakturu (lom) zuba, vrativši pacijentu lijep i prirodan osmijeh.
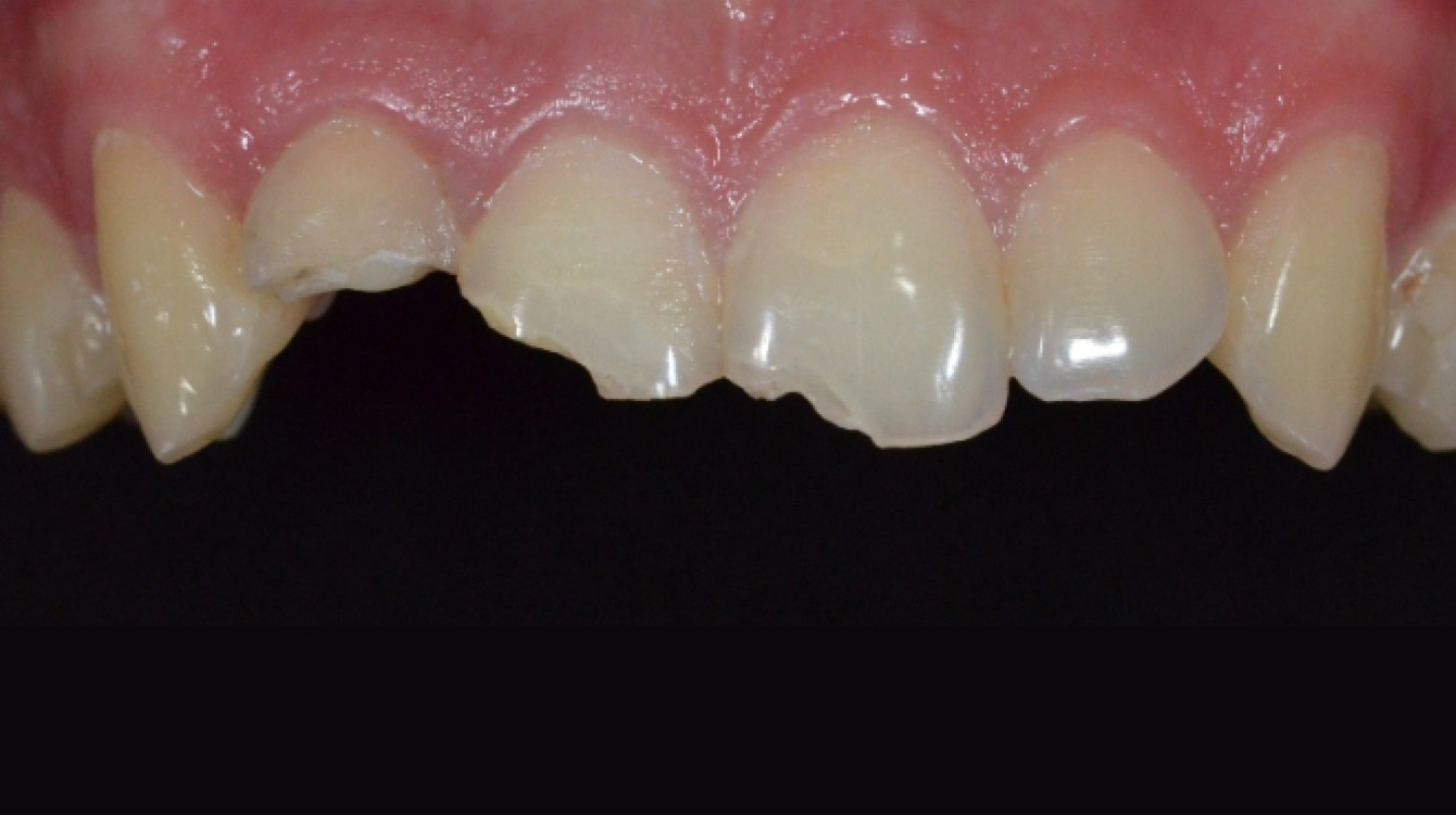
Prilikom pada s romobila, pacijentu se dogodila fraktura gornjih središnjih sjekutića te desnog lateralnog sjekutića. Odlučili smo se za protetsku rehabilitaciju zuba oštećenih frakturom, kako bismo vratili ravnotežu osmijeha u frontalnoj regiji.
Uz pomoć cirkon-keramičkih krunica pacijentu smo uspješno obnovili ljepotu prirodnog osmijeha.




